Toxicity of e-cigarettes

A lot of questions are raising from the use of e-cigarettes such as: What are the health risks of persistent e-cigarette use in never-smokers ? What are the safety concerns for e-cigarettes use to aid smoking cessation in smokers with CV disease or chronic lung disease ? In the light of recent cases of vaping related acute lung injury how should we advise people who vape ?

According to a recent presentation from the SOT-society, given by Dr. Neal Benowitz, we can conclude that: e-cigarette use while not harmless is most likely much less harmful than cigarette smoking; There are many different e-cigarette devices and liquids, and Their health effects are likely to be Suite different; the harms of long term use of e-cigarettes have not been determined and need to be studied; the acceptability of nicotine addiction per se in non-smokers who use e-cigarettes in both a health and socio-cultural question.

IMG_3207.jpg

e-Cigarette Industry

The main components of e-cigarette are: nicotine, propylene glycol (PG), Vegetable glycerine (VG). In addition: flavorants, particles, oxidants, various thermal degradation products, and various types of metals: nickel, chromium, lead. these Components are Oxidised or dehydrated during the vaping process.

IMG_3036.jpg

Biotransformation(s)

IMG_3040.jpg

Mode of Action

Nicotinic Cholinergic Receptors

the pharmaceutical effects of Nicotine are well known: facilitates neurotransmitter release (dopamine) and causing the addiction effect. it stimulates neural sympathetic systems, induces immune Suppression, induces oxidant stress and endothelial dysfunction, inhibits apoptosis and promotes cell Growth, including angiogenesis. In adolescent brain development nicotine will interfere with the prefrontal cortex maturation. In rats, similar findings have been seen in presence of Nicotine. there is a delayed maturation of the prefrontal cortex, associated with persistent changes in dopamine release. the consequences are dramatical: anxiogenic phenotype in adulthood, persistent deficit in cognitive function. therefore, There should be a greater rewarding effect of drug abused related to enhanced Acquisition of nicotine and cocaine Self-Administration in adulthood.

the challenges With e-cigarettes is that the e-liquid nicotine concentrations do not predict the daily nicotine exposures. a ten times higher concentration in Nicotine will give 4 times less cotinine in the blood/saliva. An additional caveat is the fact that in people it is difficult to distinguish effects of nicotine/tobacco from genetic and social Environmental influences.

e-Cigarette Toxicity in Laboratory Animals

several animal models are available to determine the levels of e-cigarette toxicities. e-cigarette toxicity includes: inflammation, impaired host defenses (bacterial and viral infections); impaired in utero lung development; nicotine-induced Acute lung injury at high doses and PG/PV disruption of lipid homeostasis.

IMG_3052.jpg

Toxicity in Humans

SEPTEMBER 06, 2019

IMG_3072.jpg

FDA Investigations

APRIL 03, 2019

There is evidence of Respiratory pathology in people: acute e-cigarette inhalation can increase airway resistance and produce oxidant stress (reduced expired NO). Cross-sectional studies report higher prevalence respiratory Symptoms and asthma in adolescent E-cigarette users. one study in adults reports association with Asthma and COPD diagnoses. switching studies Show smokers with asthma and COPD who switched to e-cigarettes had improved pulmonary function and symptoms.

In 2018, cases reports related to e-cigarettes showed various pulmonary changes: hypersensitivity pneumonitis, acute eosinophilic pneumonia, organizing pneumonia, lipoid pneumonia, bronchiolotis and diffuse alveolar hemorrhage. Based on animal studies, E-cigarettes carry the risk for lower immune Defences and higher risk to infectious diseases. while such a risk ha been observed in cigarette smokers, there are no data in e-cigarette users.

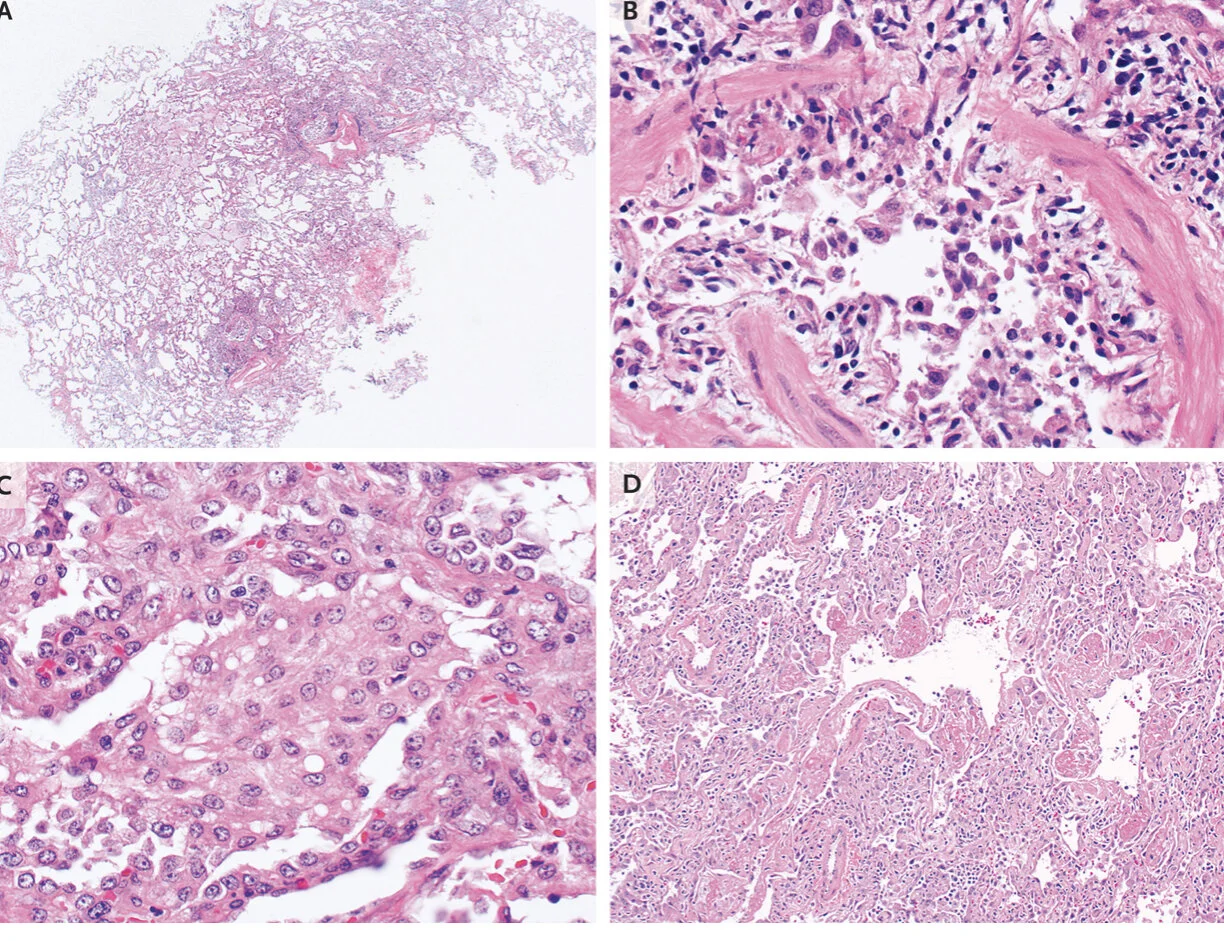
a more recent publication in 2019, described the lung Injury as Follows: histopathological findings showed patterns of acute lung injury, including acute fibrinous pneumonitis, diffuse alveolar damage, or organizing pneumonia, usually bronchiolocentric and accompanied by bronchiolitis No histologic findings were specific, but foamy macrophages and pneumocyte vacuolization were seen in all cases and may be useful diagnostic clues in an appropriate clinical context. Pigmented macrophages were sometimes present but were never a dominant feature. Neutrophils were often prominent, but eosinophils were rare and granulomas were not seen.

IMG_3206.jpg

Pathology of Vaping-Associated Lung Injury

the NEW ENGLAN JOURNAL of MEDICINE

There is evidence of cardiovascular toxicity in people, but the epidemiological studies of CV events are Difficult to interpret because most the of e-cigarette users are current or former smokers, and most of them are young. empirical evidence on CV effects of e-cigarettes in people are: increased heart rate and blood pressure, +/- increased arterial stiffness, endothelial dysfunction, reduced heart rate variability, oxidative stress, platelet activation, and a case report of atrial fibrillation.

Overall, we can say that there is a biological plausibility and epidemiological evidence that e-cigarettes may contribute to acute CV events. the short term e-cigarette use appears to pose little CV risk, but the long term e-cigarette use may be harmful in the presence of CVD.

IMG_3114.jpg

e-Liquids & Vitamin E

the e-liquids for Vaping represent the real conspiracy as they are potentially mixed and/or contaminated. According to the washington post, 2019, vaping has been linked to deadly lungs Illness and the e-liquid components are the same chemicals present in samples of Marijuana products. a cluster of cases in 2019, demonstrated that the respiratory Illness was mostly related to cannabis vaping using unregulated oils and some case reports were linked to Nicotine vaping only. no cases are reported till today related to commercial brands with Commercially marketed e-liquids.

A publication from the Journal of clinical investigation have found that e-cigarettes disrupt lung lipid homeostasis with lipid accumulations in alveolar macrophages and innate immunity independent of nicotine. pulmonary pathology is presumably due to adulterant - likely but not Necessarily only Vitame E acetate - can be used to solubilize THC or stabilize nicotine liquids. therefore, it is highly recommended never to buy vaping of streets products and forbidden to mix commercially e-liquids with other diluents/stabilizers.

ref. SOT free Webinar presented by Dr. Neal Benowitz (september, 2019)

Elizabeth

new beginner

Previous
Previous

Listeria

Next
Next

Notre-Dame de Paris