translational & preclinical drug development

Empowering Research for Future therapies


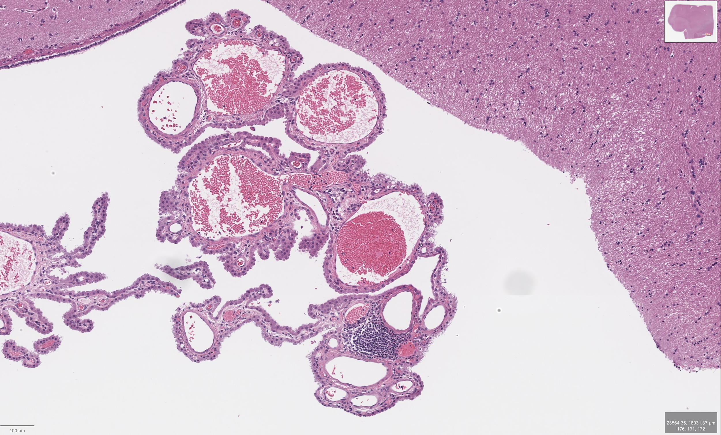
ANATOMO-PATHOLOGY

 

 
 
 
 
 
IMG_0428.jpg

gross pathology & histology

  • Necropsy Specimens will only achieve their objectives if biopsy/full sampling, collection, fixation & transportation are conducted according to Specific guidelines and/or standard operating procedures.

    • Understand gross technics in necropsy rooms

    • manage & control your handling & fixation technics

    • trimming Guidelines for safety studies

  • State-of-art Histology procedures

    • trimming, Embedding & Cutting procedures

    • Revision & update Histology protocols

  • Expertise

    • Oral, Dermal, infusion, inhalation, carcinogenicity

    • Ocular Pathology


microscopic toxicological pathology

Preclinical R&D programs including adequate IND submissions represent a regulatory-driven prerequisite before Authorising the administration of a new drug or implantation of a new medical device. The role of the Toxicological Pathologist is to act as a preclinical expert: He/She diagnoses, interprets and deliver written risk assessments on any organ/tissue change related directly or indirectly to the administration of the new drug. the final pathology report represents the end-result of the in vivo experiments and will be part of the IND submission.

discovery
IMG_6675.jpg
Histopathology
IMG_0468.JPG
Ocular Pathology

 
IMG_0546.JPG

DIGITAL PATHOLOGY

Digital pathology has been widely discussed since several years in Societies of Surgical Pathologists. Recently, it's use has been widely increased in additional fields such as in Academia for educational purposes, but also in Non-Clinical drug development research.

In 2017, the FDA approved for the first time the Whole Slide Imaging Systems for digital pathology that allows the interpretation of digital surgical pathology slides prepared from biopsied tissues. In this non-binding guidance FA describes the details about the technical performance of WSI. Additional Peer-Reviewed publications are coming soon and will be announced to all followers of digital pathology.

Since, 2009 I have been trained within a digital pathology Environment and in 2019, I obtained nSH/DPA certification in digital pathology. Special blog posts are published on a regular base including Podcasts giving you the latest updates about digital pathology within toxicological pathology.

Feel free to send me your questions about digital pathology

 

Double-board certified toxicology

20-years expertise in non clinical drug development

 

 
 
 
 
 

global roles & expertise fields of a Board-certified Toxicologist

  • Designs & Interpret nonclinical safety & efficacy studies

  • solicits bids to evaluate and select the appropriate contract research Organisations

  • manages & monitors preclinical and nonclinical studies

  • serves on project teams, expert panels, & scientific advisory boards

  • assists in new project development an existing product Defence

  • reviews & writes expert reports, white papers, study reports, product Labelling, safety data sheets; investigator brochures

  • acts as a liaison between sponsors and regulatory authorities

  • provides gap analysis & addresses needs & assessments for existing programs

  • renders subject matter expertise during due diligence activities

  • Assists financial forms in evaluation of specific data for small & large research institutes and pharmaceuticals


types of toxicologic programs

Depending on the type of Drug and the stage of development, the translational toxicologist can support you to make the appropriate strategic decisions in order to move forward your drug development process.

tox programs are designed in function of the drug molecule, type of molecule, the stage of development an/or specific regulatory requests.


Small Molecule Programs (coming soon)

Small Molecule Programs (coming soon)

Biologics & Gene therapy Programs

Biologics & Gene therapy Programs

Medical Device Programs

Medical Device Programs


Special Toxicologic & Pathology Programs

In addition to the regular tox programs it’s always nice to distinguish special expertise niches, as mentioned below.

Feel Free to click on these special sections for additional comprehensive Knowledge.

Special ToxProgram: Ocular Drug Development

Special ToxProgram: Ocular Drug Development

Special ToxProgram: NAFLD/NASH

Special ToxProgram: NAFLD/NASH

Special ToxProgram: Tobacco Products (Coming soon)

Special ToxProgram: Tobacco Products (Coming soon)

 

TRANSLATIONAL WELFARE

 
 
 
 
 
 
 

3R’s also called research animal replacement, refinement, and reduction of test strategy demand that key personnel from industry and FDA who are involved in the submission and the review of safety data Consider a full integration of clinical, toxicological, and veterinary methodology.

a certified laboratory animal expert (art.9) is trained

  • to monitor the execution of approved Experimental procedures & projects

  • to ensure compliance with the regulations and AAALAC requirements.

  • is actively involved in health and welfare of laboratory animals

  • Provides scientific support, education & training of all people involved in animal experimentation.

  • He/She audits CRO’s and academic research laboratories, laboratory animal breeders and other suppliers with excellence.

 

GLP: QUALITY ASSURANCE

 
 
 
 
 
 
 

compliance 21 cfr part 11

Title 21 CFR Part 11 is the part of Title 21 of the code of federal regulations that establishes the United States Food and drug Administration (FDA) regulations on electronic records and electronic signatures. Part 11 defines the criteria under which electronic records and electronic signatures are considered trustworthy, reliable and equivalent to paper records. Practically Part 11 applies to pharmaceutical companies, medical devices manufacturers, biotechnology companies, sometimes even GLP departments in academic settings.


Good Laboratory Practices

in the experimental or translational research area, GLP is a quality system of management controls for laboratories and Organisations who need to ensure the uniformity, consistency, reliability, reproducibility, quality and integrity of products in development for human and animal health through non-clinical safety tests; varying from physiochemical Properties through acute to chronic toxicity tests.


roles & responsibilities of a Toxicologic Pathologist in qA

  • understanding the GLP-workflows from accredited Good Laboratory Practice laboratories

  • Understanding, reviewing & Implementing standard operating procedures (SOP’s)

  • auditing nonclinical safety studies, histology & pathology procedures

  • providing mock inspections in order to prepare for official regulatory authorities

  • revisions of raw data, incl. necropsy procedures

  • corrective actions related to animal health procedures

  • Need some examples: check your QA blog spot !



SQA_Distinguished_Speaker_2021_LINKEDIN.png